SRPを大事にしない医院なのに、歯周組織は誰よりも大切にする──その矛盾は矛盾か?
2026/02/09
私は院長が何を考えているのか、やっぱり分からない😒
そして嫌になるが、時々だけ分かってしまう。
自分でも困った性格だと思う🤔
ここに勤めたばかりの頃、まず不思議に思った事がある。
このクリニック、SRPが嫌い😦
そう感じる瞬間がある。あっ!これは私の感想にすぎないのだけど🤫
だけど、歯周治療そのものは異常なほど大事にする🦷
何を考えているのか❓
本当に、院長という人は“曲者”だとしか思えない🥴
◇歯茎の検査の機械と、手書きの検査表

そういえば、私自身、
SRPがまともにできるようになる事は、衛生士として絶対に大事な事✨
だと思っていた。
だけど勤め始めた頃から、
SRPだけを大事にしている医院ではない🦷
そんな感じがしていた🙄
じゃあ、歯周治療を軽視していたかといえば、むしろ真逆で♺
歯周組織に対しては、異常なほど丁寧だった🦷
しかも、その“大事にする具合”は年々強くなっている気さえする👨
私の勘違いかもしれない😶
でも、当時の私には、
SRPを大事にしないように見える院長の考えが、まったく分からなかった😒
◇「守るべきもの」と「変えるべきもの」
後になって知るのだけれど、院長という人は、
守るべきものは守る!
でも、変えるべきものは容赦なく変える♺
そんな性格らしい。
そう思わないと、院長の行動は理解できない😒
しかも、その“変える”にも段階がある🧐
ただ、じっくりじっくり──待つ。
こちらが「忘れているのでは?」と勘ぐるほど──待つ。
焦らず、口出しもせず、ただ成長を見守っている。
まさか、あの院長が……😦?
そんな錯覚を覚える時さえある。
あれ、もしかして私の捉え方の方が変わったのだろうか🙄❓
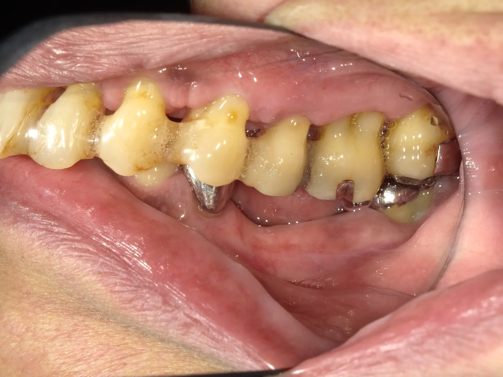
◇ この写真を見てください

👆20年間SRPを続けてきた方

👆SRPを経てBPTSへ移行した状態
20年間、真面目にSRPを続けてきた方が、当院に転院された。
その歯茎の状態。
20年間、SRPを経てBPTSへ移行しながらメンテナンスを続けてきた方の歯茎。
私は、読み手のみなさんが
何を感じるか、どう感じるかはお任せしたい。
ただ、一つだけ胸に浮かぶ思いがある。
院長は、この差を予見していたのだろうか?
私は、やっぱり院長が何を考えているのか分からない🧐
でも、時々だけ分かってしまう。
不思議な人だ。
今日はここまで。
ちょっと疲れたので、この辺で失礼します。
一堂でした😌
◇ 衛生士さんへ:もしこのブログを読んでくださっていたら
もし現役の歯科衛生士さんや、転職を考えている方が
このブログを読んでくださっていたら、
「こんな医院もあるんだな」
と知っていただけるだけで嬉しく思います😌
当院が
• 何を大切にしているのか
• どこにこだわりがあるのか
• どんな臨床観で診療しているのか
少しずつ書いていきます📝
もし気になる点があれば、
どうぞ勤務先候補のひとつとして検討していただければ嬉しいです👌
詳細はこちらに掲載しています:
(ドクターズファイル掲載ページ → https://doctorsfile.jp/h/38240/)
そして、このブログとも末永く仲良くしていただけると幸いです💗
治療内容の詳細は、当院公式HPをご覧ください。https://fuchu-tmdkosuga.com/
----------------------------------------------------------------------
こすが歯科医院
東京都府中市府中町1-8-13 村田ビル2F
電話番号 :
042-352-1551
FAX番号 :
042-352-1552
----------------------------------------------------------------------

